Adult Pineoblastoma: A Rare Case Report

Document Type : Case Report

Authors
1 Department of Histopathology, Neuberg Supratech Reference Laboratories (NSRL), Ahmedabad, Gujarat, India
2 1- Department of Histopathology, Neuberg Supratech Reference Laboratories (NSRL), Ahmedabad, Gujarat, India 2- Department of Research, Sandip & Bhavini Research Institute, India
3 Department of Research, Sandip & Bhavini Research Institute, India
Abstract
Introduction: Pineoblastoma (PB) is a rare brain tumor considered as a variant of supra-tentorial primitive neuroectodermal tumor. They are poorly differentiated, infiltrative, and have significant potential for leptomeningeal and extra-cranial dissemination. Pineoblastoma has a predilection for the pediatric population, whereas in adults they are exceedingly rare and it accounts for approximately less than 1% of primary central nervous system tumors. The treatment for adult pineoblastoma consists of surgery followed by craniospinal radiotherapy with or without the addition of chemotherapy. Adult Pineoblastoma a rare tumor and needs to be considered in the differential diagnosis of pineal region tumors in adults. The reported case is noteworthy for the rarity of the clinicopathological entity.
Case Presentation:  The present case represents a total workup on diagnosing pineoblastoma including radiology, histopathology, and immunohistochemistry. A 33-year-old male patient presented with headache & vomiting. His MRI showed heterogeneously enhancing mass lesions in the pineal region. Excision biopsy from the mass showed histology of pineoblastoma which was confirmed with a complete immunohistochemistry (IHC) study.
Conclusion: Though rare, Pineoblastoma needs to be considered a differential diagnosis of pineal region tumors in adults.  Because of the considerable overlap in imaging appearance with other pineal region tumors, histopathology with immunohistochemistry is required along with radiology to confirm diagnosis. Our case had no extra-cranial dissemination and was treated by surgical excision followed by adjuvant cranial radiotherapy. Due to the rarity of pineoblastoma in adults, optimal treatment strategies and prognosis are yet to be determined.

Keywords

Subjects


Introduction

Pineoblastomas are rare primitive neuroectodermal tumors that are aggressive, found mostly in children, and exceedingly rare in adults. They represent, in the 2021 WHO classification, a heterogeneous group of diseases which spans from grade I pineocytomas to the most aggressive grade IV pineoblastoma (PB) (4). They are more commonly diagnosed in children between 1-12 years old and are very rarely diagnosed in adults. For this reason, evidence in the literature for adults is scarce and mainly derives from the pediatric practice. For their clinical behavior and embryonal histology, PBs are often grouped together with medulloblastomas in clinical trials (3). The Pineoblastoma has significant potential for leptomeningeal and extra-cranial dissemination; hence

Figure 1. MRI Brain showing tumor arising from the pineal gland (a) Sagittal T1 weighted image (b) Axial T2 weighted image.


maximum surgical resection with adjuvant craniospinal radiotherapy aids in controlling the tumor and improving survival (1).

 

Case Presentation

A 33-year-old male patient presented with headaches and vomiting for 2 months which led him to a neurological evaluation. His plain head CT scan showed an enlarged pineal gland with smooth margins and several peripheral calcifications. MRI showed a well-defined lesion in the pineal region (14 × 10 mm in the axial plane), which was hyperintense on T1 with diffuse contrast enhancement after gadolinium injection and strongly hypo intense on T2. (Figure 1). MR scan of the spine and CSF cytology resulted in a negative for pathological seeding. The patient also underwent hormonal and tumor markers blood tests and radiological workup with chest and abdominal CT scans, which were all reported as normal. A repeated MRI scan after a short interval confirmed a growing pineal parenchymal tumor, hence patient underwent craniotomy with resection of the tumor.

We received a biopsy of the pineal tumor mass. Macroscopic examination showed multiple greyish soft tissue bits in aggregate measuring 2.0.x1.5 cm which was entirely submitted for histopathological examination.

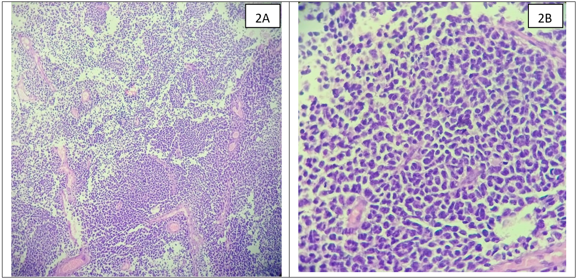
H & E sections showed tumors composed of patternless sheets of densely packed cells with a high N:C ratio, scanty cytoplasm, hyperchromatic angular nuclei, and brisk mitotic activity. Nuclear molding and focal perivascular pseudo rosette formation with occasional Homer Wright rosette were present. Necrosis was not present (Figure 2).

In an immunohistochemistry study, tumor cells were positive for synaptophysin with high Ki 67 proliferative index (~ 70%) and negative for GFAP, NKX2.2, CD45, and EMA. INI1 showed retained nuclear expression in tumor cells (Figure 3).

 

Discussion

Primary pineal parenchymal tumors are rare and account for 0.4% to 1% of primary central nervous system neoplasms in all age groups combined (2). Approximately 25-50% of primary pineal parenchymal tumors are pineoblastoma WHO grade IV. These are embryonal tumors that arise in the region of the pineal gland, are found preferentially in children, and often disseminate extensively along the cerebrospinal fluid (CSF) pathways. Patients with pineoblastoma have a reported 5-year survival rate of only 10%. Only a few isolated case reports and a small series of these tumors occurring in adults have been documented in the literature (9) (10) (11).

There is some available literature addressing the clinical outcomes of pineoblastoma in adult patients. Since 1979, approximately 200 cases have been reported, some of these relevant series include groups of patients with heterogeneous pathologies such as different pineal region tumors, and therefore, the exact number of adult patients with pathologically confirmed pineoblastoma is not completely certain (2).

 

Pineoblastomas are often large (>3 cm) at presentation, and cause obstructive hydrocephalus in nearly all patients. Considerable overlap exists between the imaging appearance of pineoblastoma and lower-grade primary pineal neoplasms. Germinomas, commonly in the differential diagnosis of pineal tumors, also have overlap in imaging appearance, but have been found to demonstrate less diffusion restriction on radiology (2).

Nearly all patients present with radiographic and clinical signs of hydrocephalus, including headache, double vision, blurry vision, and obtundation (2).

Figure 2. (A) The tumor shows sheets of densely packed cells with perivascular pseudo-rosette formation. (B) Tumor cells with hyperchromatic angular nuclei, scanty cytoplasm, and brisk mitosis.

Figure 3. Immunohistochemistry stains (A) Tumor cells are immuno-reactive for synaptophysin, (B) High Ki 67 proliferative index. (C) Retained nuclear expression of INI 1. (D) Tumor cells are non-immune reactive for GFAP.


Histopathology of Pineoblastoma is not distinctive, as they are composed of sheets of poorly differentiated embryonal neoplastic cells. Confirming the location of the tumor in the
pineal region is thus first critical step in ruling out other non-pineal embryonal tumors, especially medulloblastomas (4).

According to WHO Classification of CNS Tumors 2021, essential diagnostic criteria for pineoblastoma include 1) histopathological features of an embryonal tumor 20 High proliferative /mitotic activity AND 3) Pineal region location. While desirable diagnostic criteria include 1) Retained nuclear SMARCB1 (INI1) staining 2) DNA methylation profile of pineoblastoma subtype – copy number alteration and/ mutually exclusive mutations targeting DICER1, DROSHA or DGCR8 (4).

DNA methylation profiling segregates pineoblastoma into four molecular subgroups. (1) Pineoblastoma, miRNA processing- atltrered_1(2) Pineoblastoma, miRNA processing- atltrered_2(3) Pineoblastoma RB1- altered 4) Pineoblastoma, MYC /FOX2- activated. The prognostic value of molecular subgrouping is high Out of these groups 1 & 2 have better outcomes in terms of 5 years overall and disease-free survival rate(4).

The appropriate treatment for PB has not been determined as the incidence rate is extremely low, particularly in adults and only a few described cases with limited follow-up and outcome studies are available (1). The recommended treatment for adults with PB includes maximum surgical resection followed by adjuvant craniospinal radiotherapy and a boost to the entire posterior fossa, with or without the addition of chemotherapy (1) (6). Tumors originating from the pineal region have varied propensities for recurrence and patterns of dissemination. A few described cases reported that radiotherapy aided in controlling the tumor and improving survival. Systemic chemotherapy includes several different protocols that vary widely which includes combination of following drugs cisplatin or carboplatin, and cyclophosphamide drugs (1).

One of the most striking clinical differences that we observed between adult patients and the reported pediatric patients is that progression-free survival and overall survival for adult patients are much higher than for children (2).

 

Conclusion

Adult Pineoblastoma is a rare tumors and needs to be considered in the differential diagnosis of pineal region tumors in adults. Because of the considerable overlap in imaging appearance with other pineal region tumors, histopathology with immunohistochemistry is required along with radiology to confirm the diagnosis. The present case had no extra-cranial dissemination and was treated by surgical excision followed by adjuvant cranial radiotherapy. The reported case is noteworthy for the rarity of the clinicopathological entity. Due to rarity optimal treatment strategies and prognosis of adult pineoblastoma are yet to be determined. 

 

 

Deceleration

 

Funding

We do not have any financial support for this study.

 

Conflict of interest

The authors have no conflicts of interest to disclose.

 

Consent for publication

This manuscript has been approved for publication by all authors.

Informed consent has been taken from the patient for publication his case.

 

Author’s contribution

Dr.Vipal Parmar & Dr.Prashant Parikh have reported histopathology and IHC of the case. These authors along with Mrs. Ankita Murnal prepared the manuscript and figures. Dr. Bhavana Mehta & Dr. Sandip Shah with others finalized the study for publication as a case report.

1. Banu R, Nagarajan M, Rajkumar A. Adult Pineoblastoma. Journal of Case Reports. 2020 Jan 2;9(4):208-10.
https://doi.org/10.17659/01.2019.0055
 
2. Gener MA, Conger AR, Van Gompel J, Ariai MS, Jentoft M, Meyer FB, Cardinal JS, Bonnin JM, Cohen-Gadol AA. Clinical, pathological, and surgical outcomes for adult pineoblastomas. World neurosurgery. 2015 Dec 1;84(6):1816-24.
https://doi.org/10.1016/j.wneu.2015.08.005
PMid:26287970
 
3. Gaito S, Malagoli M, Depenni R, Pavesi G, Bruni A. Pineoblastoma in Adults: A Rare Case Successfully Treated with Multimodal Approach Including Craniospinal Irradiation Using Helical Tomotherapy. Cureus. 2019 Oct 7;11(10).
https://doi.org/10.7759/cureus.5852
PMid:31754587 PMCid:PMC6830851
 
4. Louis DN, Perry A, Wesseling P, Brat DJ, Cree IA, Figarella-Branger D, Hawkins C, Ng HK, Pfister SM, Reifenberger G, Soffietti R. The 2021 WHO classification of tumors of the central nervous system: a summary. Neuro-oncology. 2021 Aug 1;23(8):1231-51.
https://doi.org/10.1093/neuonc/noab106
PMid:34185076 PMCid:PMC8328013
 
5. Impana BD, Seethalakshmi, Raghavendran A rare and challenging case of pineal gland tumor - A case report. IP Journal of Diagnostic Pathology and Oncology 2023;8(3):181-184.
https://doi.org/10.18231/j.jdpo.2023.043
 
6. Mehkri Y, Gendreau JL, Fox K, Hameed NF, Jimenez MA, Mukherjee D. Radiotherapy Is Associated With Improved Overall Survival in Adult Pineoblastoma: A SEER Database Analysis. World neurosurgery. 2023 Apr 1;172:e312-8.
https://doi.org/10.1016/j.wneu.2023.01.014
PMid:36627016
 
7. Patel A, Goyal S, Maheshwari U, Sharma M, Jajodia A, Koyyala VP. A rare case of pinealoblastoma in adult with complete response to treatment. South Asian Journal of Cancer. 2018 Oct;7(04):262-.
https://doi.org/10.4103/sajc.sajc_262_18
PMid:30430097 PMCid:PMC6190400
 
8. Selvanathan SK, Hammouche S, Smethurst W, Salminen HJ, Jenkinson MD. Outcome and prognostic features in adult pineoblastomas: analysis of cases from the SEER database. Acta neurochirurgica. 2012 May;154:863-9.
https://doi.org/10.1007/s00701-012-1330-4
PMid:22460262
 
9. Chang SM, Lillis-Hearne PK, Larson DA, Wara WM, Bollen AW, Prados MD. Pineoblastoma in adults. Neurosurgery. 1995 Sep 1;37(3):383-91.
https://doi.org/10.1097/00006123-199509000-00003
 
10. Lee JY, Wakabayashi T, Yoshida J. Management and survival of pineoblastoma: an analysis of 34 adults from the brain tumor registry of Japan. Neurologia medico-chirurgica. 2005;45(3):132-42.
https://doi.org/10.2176/nmc.45.132
PMid:15782004
 
11. Lutterbach J, Fauchon F, Schild SE, Chang SM, Pagenstecher A, Volk B, Ostertag C, Momm F, Jouvet A. Malignant pineal parenchymal tumors in adult patients: patterns of care and prognostic factors. Neurosurgery. 2002 Jul 1;51(1):44-56.
https://doi.org/10.1097/00006123-200207000-00006
PMid:12182434
Volume 3, Issue 2
November 2024
Pages 1-4

  • Receive Date 28 March 2024
  • Revise Date 28 May 2024
  • Accept Date 31 May 2024
  • Publish Date 20 July 2024